Call Us Today 817-737-7668

Do you know people are fans of wide, bright smiles? Years of studies have found out that nothing beats the charm of the widest grin during first meets. One can have the finest clothes on, but their dull smile dims their light. What else fades one’s allure faster than retracting gums?
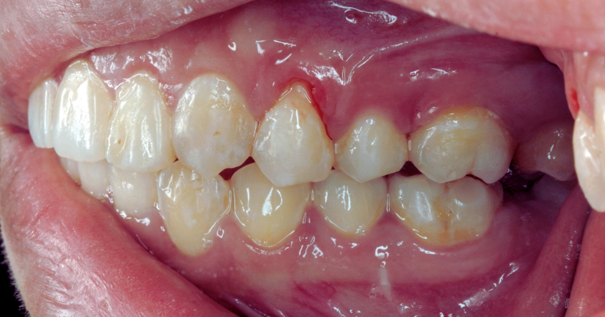
While many might consider it just an aesthetics problem—gum recession increases tooth sensitivity and decay, and even makes one prone to tooth loss. However, on-time treatment for gum recession can help your gums heal and protect you from the risks of gum recession.
What is the Gum Recession?
Gum recession is an erosion of the gum tissue around your teeth. It leaves the teeth roots exposed and sensitive. While it takes time to reach this vulnerable situation, the truth is by the time you become aware of it, the damage may already be extensive. This is why knowing what causes gingival recession is crucial in prevention.
Common Risk Factors for Gum Recession
The reasons behind the gum recession are plenty. Let’s walk you through them to help you take active measures for healthy gums:
1. Rough Brushing and Flossing
The misconception that ‘brushing hard is a good practice for teeth cleaning’ is nowhere near extinction. But it can gradually harm gum tissue. The situation worsens when rough-bristled toothbrushes also join the game. A combination of these two can cause gum irritation and serious gum injury. Flossing aggressively can also accelerate gum recession.
- What to do instead? Use a soft-bristled toothbrush to brush gently following circular motions. You should also be careful while flossing to ensure you’re not cutting into your gums.
2. Poor Oral Hygiene
Skipping regular brushing and flossing leads to plaque build up which is one of the prime reasons behind gum disease. Infections caused by poor hygiene weaken the gum tissue, and lead to recession. The longer the plaque sits on your gumline, the risk of gum recession increases.
- Solution: Brush your teeth twice daily, floss once a day, use an antimicrobial mouthwash, and schedule biyearly professional deep cleanings at a dentist.
3. Smoking and Tobacco Consumption
Smoking has always been linked to a host of health issues. It lowers blood flow to the gums, delays healing, and makes your gum susceptible to infection. It can also be the reason of thick plaque accumulation in your teeth. It compromises your immune system, and your gums struggle to combat oral bacteria.
Want healthier gums? Simply quit smoking!
4. Genetics Play a Role
You cannot deny your genes. If your parents experienced gingival recession, there’s a greater likelihood that you could develop it too. Some individuals simply have thinner or less resilient gum tissue, which puts them at risk.
Tip: Regular dental visits to a dentist can help you detect early signs of gum disease before they become serious.
5. Grinding and Clenching of Teeth
Clenching or grinding your teeth places excessive pressure on your gums. When you don’t take immediate steps to relieve this pressure, your gum tissue will break down.
Spare your gums: If you are a teeth grinder, wear a night guard to reduce gum damage.
6. Bite and Misaligned Teeth
Crooked or crowded teeth place uneven pressures on the gums. Overlapped teeth and gaps between them also create areas where plaque forms.
Repair it: Orthodontic treatments, such as Invisalign, can straighten your teeth and save your gums.
7. Hormonal Changes in Women
It’s a common fact that women go through more bodily changes during pregnancy and menopause. Throw birth control pills in the mix and their gums become more sensitive. Increased hormone levels during such times of change also make gums more vulnerable.
What helps? Extra oral care during hormonal changes can reduce the risks of gum recession.
8. Medical Conditions and Medications
Diabetes, heart disease, and immune disorders can affect gum health. Some medicines to treat these health conditions induce dry mouth, which decreases saliva flow that protects gums.
Solution: If you are taking medicines that pose the risk of causing dry mouth, drink a lot of water to maintain a regular flow of saliva. You should also munch on a well-balanced diet that’s high in vitamins and minerals to give your gums the necessary nutrition.
The dangers of gum recession may sound daunting, but the positive is that they are easily preventable in most situations. Adjusting a few simple things about your daily routine and remaining proactive when it comes to your teeth can help you maintain healthy gums and a healthy smile. If you’ve already seen indications of gum recession, don’t hesitate to schedule your appointment today in our Alliance dentist office—catching this early can be a big help.


