Call Us Today 817-737-7668

Tooth infections can sneak up on you, often starting as a minor ache and escalating into something more serious. Understanding the signs that indicate a possible infection is crucial for maintaining your oral health.
Do you ever wonder if that nagging pain means you need to see an endodontist?
You’re not alone! Many people face similar dilemmas, and recognizing these symptoms can make all the difference in preserving your natural teeth.
In this blog, we’ll explore the telltale signs that your tooth infection may require endodontic intervention. From initial discomfort to more advanced symptoms, knowing when to act can save you from complications down the road. We’ll also discuss the importance of professional evaluations and how timely treatment can help you regain your oral health.
So, let’s dive in and empower you with the knowledge to recognize when it’s time to seek help! Your teeth will thank you for it.
Recognizing Early Signs of a Tooth Infection
Understanding the initial symptoms of a tooth infection helps you act quickly. Ignoring these signs can lead to more severe problems down the road. Here are some key indicators:
- Pain: Tooth infections often start with varying levels of pain. This can range from a dull ache to sharp, intense discomfort.
- Temperature Sensitivity: Notice if you feel discomfort when consuming hot or cold foods. Increased sensitivity can indicate inflammation or infection.
- Swelling and Redness: Look for swelling or redness in the gums near the affected tooth. These signs suggest that an infection is present and worsening.
Advanced Symptoms That Demand Attention
As the infection progresses, you may experience more serious symptoms. Recognizing these can prompt timely intervention:
- Persistent Pain: If the pain doesn’t subside after a few days, it’s a clear sign that professional help is needed.
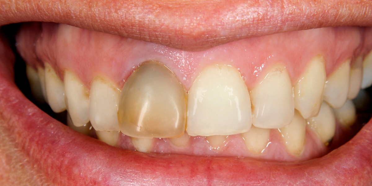
- Tooth Discoloration: An affected tooth may darken, indicating nerve damage or infection.
- Foul Taste or Odor: A bad taste in your mouth or foul odor can signal the presence of decay or an abscess.
Warning Signs of Complications
Complications can escalate quickly if not addressed. Watch for these serious signs:
- Abscess Formation: An abscess can develop, leading to pus buildup. This often requires immediate treatment to avoid further complications.
- Spread of Infection: Be alert for pain that radiates to other teeth or areas of your face, as this could mean the infection is spreading.
- Systemic Symptoms: Fever, fatigue, or general malaise may occur if the infection has entered your bloodstream.
The Importance of Endodontic Treatment
Endodontic treatment plays a crucial role in managing tooth infections. Here’s how it helps:
- Targeted Intervention: This specialized care addresses the infection directly, often involving procedures like root canal therapy to remove infected tissue.
- Preservation of Natural Teeth: By effectively treating the infection, you can save your tooth and maintain your natural smile.
Why You Should Consult an Endodontist?
Recognizing the need for professional evaluation is vital. Here’s why:
- Expert Diagnosis: An endodontist specializes in identifying and treating tooth infections. They can provide the most accurate diagnosis.
- Key Questions to Ask: During your consultation, inquire about your specific symptoms, treatment options, and expected outcomes. This will help you understand your situation better.
If you’re experiencing any signs of a tooth infection, don’t hesitate to consult an endodontist in Denton. Early intervention can save your tooth and prevent complications.
Tooth infections can escalate quickly, leading to severe complications if ignored. Staying alert to the signs is crucial for timely intervention. If you experience any symptoms, seek help from an endodontist. Early treatment not only relieves pain but also protects your oral health. Remember, your smile deserves the best care possible. Don’t wait—take action and consult a professional today!


