Call Us Today 817-737-7668

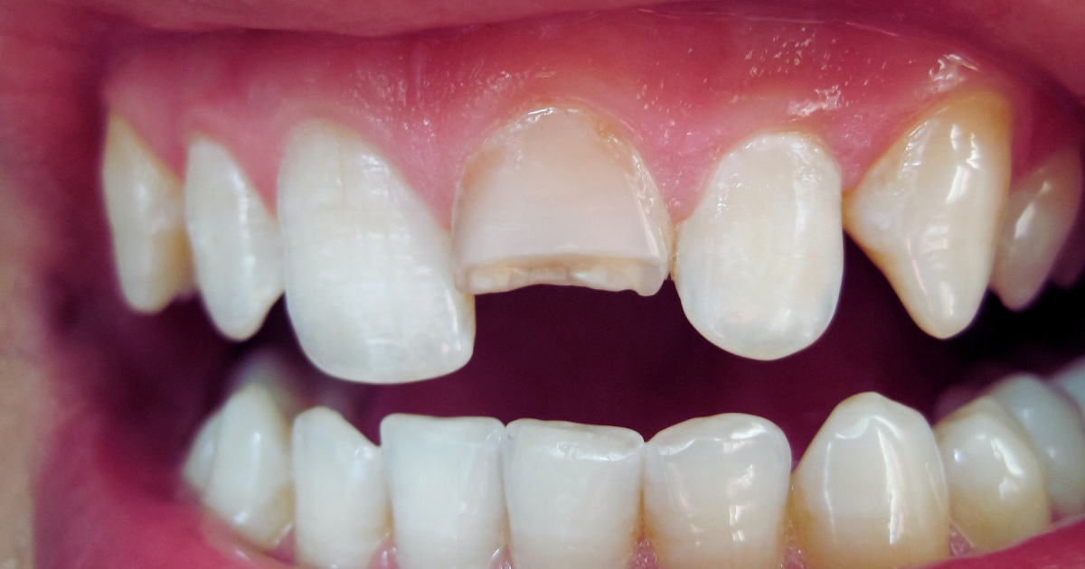
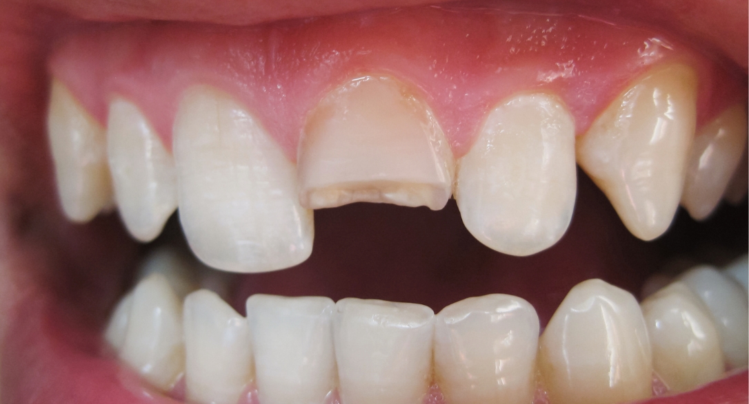
Have you ever bitten down and noticed a sudden stabbing pain? If yes, it could be a crack in the teeth. Most assume teeth are infallible—until a subtle habit breaks them of that one. A crack in the teeth is more than just a bit of a bother. It could mean throbbing, sensitivity, and even horrible dental issues. In the very worst cases, unattended cracks could cause dental implants and other high-level procedures. The twist? Daily routines might be leading you down a pricy cracked tooth path!
This blog will explore the sneaky practices that can break your smile. It will also provide real advice on how to keep your teeth whole. It’s time to crack open what not to do!
Habits Leading to a Cracked Tooth
1. Chewing Hard Items
Crunching ice on your cold beverage? Chewing on pen tops at meetings? These hard things may not look like much. However, they have the ability to cause a cracked tooth. The pressure of chewing puts small micro-cracks in your enamel.
Over time, these can grow deeper. It will result in a serious fracture. Hard candies are another offender. The sweet crunch is satisfying. However, it’s a shortcut to a cracked tooth and possible dental implants. If you stop the habit of chewing hard items, it can prevent you from undergoing dental misery in the future.
2. Grinding of Teeth (Bruxism)
Teeth grinding is a common perpetrator associated with stress or sleep disorders. It is a silent destroyer of tooth health. Most grind their teeth unconsciously, particularly at night. The relentless pressure erodes the enamel. It results in a cracked tooth. This is a highly risky habit since the damage occurs insidiously.
By the time pain is noticeable. In addition, significant harm may have occurred. The use of night guards or exploration of sedation techniques for stress relief can prevent a cracked tooth. It can avoid costly treatments like dental implants.
3. Using Teeth as Tools
Ripping open a snack bag with your teeth is quick and easy. Popping bottle tops or tearing packaging with teeth is another common but dangerous habit. These activities put unnatural pressure on teeth. As a result, they cause a tooth to crack.
Teeth are not made for this kind of work. If you use your teeth as tools, it can result in cracks, chips, and the necessity for restorative work such as dental implants. You must have simple tools such as scissors or bottle openers within reach to preserve your smile.
4. Biting Nails
Nail-biting isn’t only a nasty habit for your fingers—it’s not good for your teeth either. The back-and-forth motion and force of nail-biting can wear on teeth. It can cause a cracked tooth. It can erode your enamel over time. For that, it makes teeth to become more prone to fractures.
If you have restorations in your teeth, such as crowns or dental implants, nail-biting will also hurt them. You must quit the habit, as it can save your natural teeth and whatever dental work you’ve done.
5. Overindulgence in Hard Foods
Hard foods such as popcorn kernels, nuts, and hard bread rolls are frequent causes of cracked teeth. If you force down with pressure on an unpopped kernel or hard nut, it will cause a fracture.
Although healthy, nuts must be chewed carefully and avoided if they are too hard. If you alternate to softer foods or consider careful eating, it can lower the risk of a cracked tooth and possible need for dental implants.
6. Bad Dental Practices While Playing Sports
Playing high-impact sports without a mouthguard is a recipe for a cracked tooth. Contact sports like football, hockey, or martial arts carry a high risk of dental trauma. A blow to the mouth can cause a cracked tooth and, in extreme cases, tooth loss.
Mouthguards serve as a cushion. They spread the force of impact and save your teeth. A good mouthguard is an inexpensive price compared to dental implants or a trip to the emergency room.
7. Temperature Extremes in Food and Drink
Do you enjoy drinking hot coffee and then an ice-cold beverage? Such drastic temperature changes can lead to a cracked tooth. Teeth expand when hot and contract when cold.
When these changes occur rapidly, the enamel cannot keep up. It can cause cracks. Steering clear of sudden temperature changes in your diet will keep your enamel intact. As a result, it can avert a cracked tooth.
8. Steer Clear of Routine Dental Checkups
Missing out on routine dental checkups is a habit that can quietly cause a cracked tooth. Dentists can identify the initial signs of cracks or stress on your teeth. Moreover, they provide preventive measures before they get worse. They may recommend custom mouthguards for bruxism or dietary modifications to ensure healthy teeth.
Early identification can also prevent you from undergoing advanced procedures such as dental implants or sedation treatments for significant repairs. Regular checkups are an advanced measure to save your teeth from harm.
Prevention Tips
Shattering habits that cause a cracked tooth take sensitivity and subtle changes:
Chew Wisely: You must steer clear of hard objects and foods that can stress teeth.
Manage Bruxism: Wear a mouthguard when sleeping. Stress management strategies such as meditation or sedation therapies may minimize grinding.
Avoid Using Teeth as Tools: You should store scissors or bottle openers at hand to avoid temptation.
Protect While Playing Sports: Consider using a mouthguard to protect teeth from shock.
Mind Food Temperatures: Steer clear of extreme temperature changes in your diet.
Regular Dental Visits: You must have checkups every six months to detect early signs of a cracked tooth.
A healthy diet with lots of vitamins and minerals also hardens enamel. It has the ability to prevent cracks. Prevention is always less expensive and less painful than dental implants.
Daily habits may cause a cracked tooth. It can be painful and even necessitate expensive treatments such as dental implants. The best part? Changing these habits is simpler than you imagine. Small adjustments and regular check-ups with your dentist can save your natural smile.
You must take a moment to evaluate your habits. Are you unconsciously endangering your teeth? If yes, now’s the time to take action. Schedule a dental checkup with our dentist, take improved practices, and safeguard your teeth against cracks and damage. Your smile is worth it!


