Call Us Today 817-737-7668

Quick action in dental emergencies prevents serious complications. Tooth injuries happen due to accidents, falls, or sports activities. Biting hard objects also causes dental trauma. Ignoring tooth injuries worsens pain and increases infection risks. Timely response helps in saving the tooth and avoiding costly treatments.
Knowing what to do in dental emergencies ensures better outcomes. Seeking professional help immediately is crucial. A proactive approach minimizes long-term damage. Understanding different types of tooth injuries is important. Being prepared for emergencies keeps your dental health intact.
Common Types of Tooth Injuries
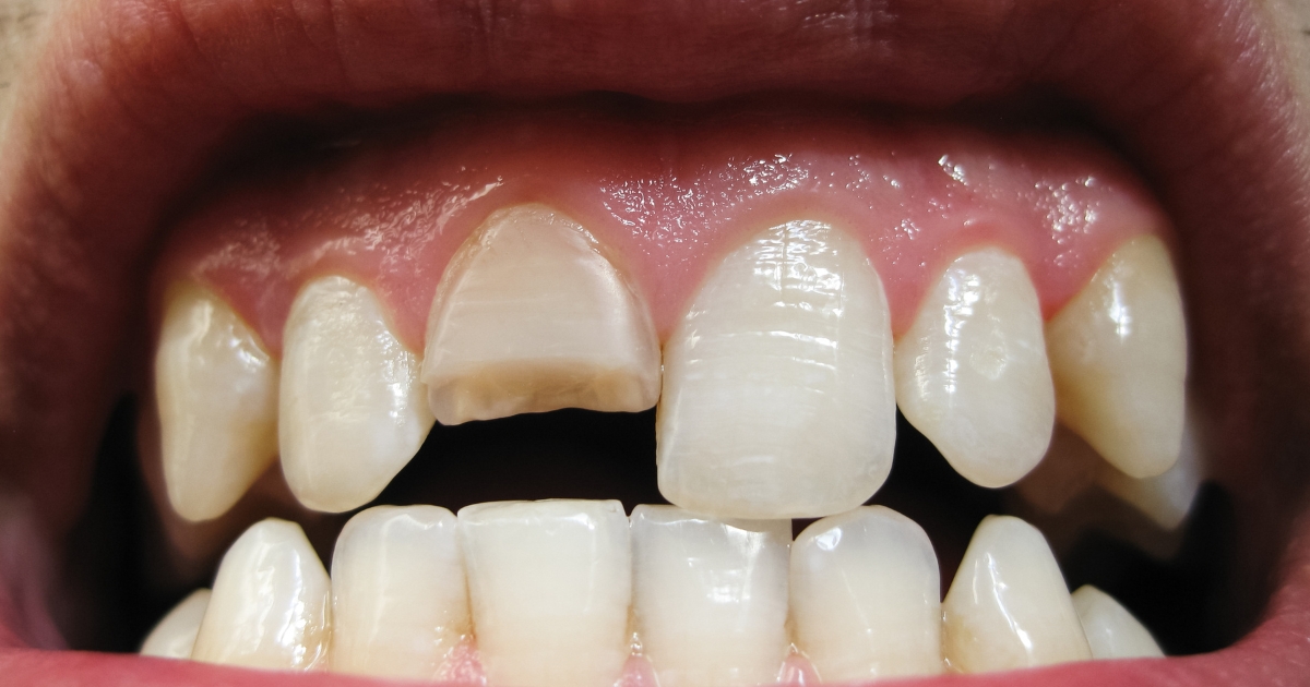
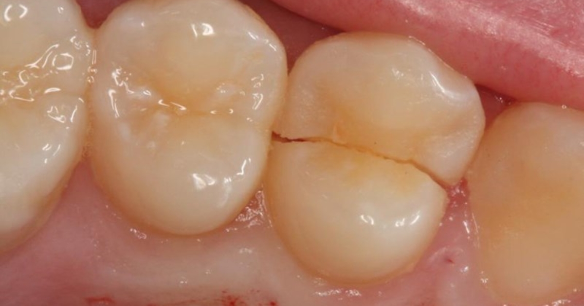
- Chipped or cracked tooth: A chipped tooth may cause sensitivity and pain. Cracks weaken tooth structure and lead to infections.
- Knocked-out tooth (avulsed tooth): Losing a tooth due to trauma requires immediate attention. The sooner it is treated, the better.
- Loose or displaced tooth: A tooth that moves from its position can be saved with prompt action.
- Fractured tooth root: Root fractures cause hidden damage, leading to pain and infection over time.
- Soft tissue injuries: Injuries to the gums, tongue, cheeks, or lips lead to bleeding and swelling.
Immediate Steps for Each Injury
For a Chipped or Cracked Tooth
A chipped or cracked tooth can cause sensitivity, pain, and further complications if not treated promptly. The first step is to rinse your mouth with warm water to remove any debris and keep the area clean.
If there is swelling, apply a cold compress to the outside of your cheek to reduce inflammation and numb the pain. Avoid eating hard foods that might cause additional damage or worsen the crack. Even if the chip seems minor, visit a dentist as soon as possible.
A professional emergency dentist Aledo will assess the severity of the damage and determine the best course of action, whether it’s smoothing the tooth, bonding it, or placing a crown.
For a Knocked-Out Tooth
A knocked-out tooth (avulsed tooth) is a serious dental emergency requiring immediate attention. If you or someone else loses a tooth, act fast.
Pick up the tooth by the crown (the top part) and avoid touching the root to prevent further damage. Rinse the tooth gently with water if it’s dirty, but do not scrub it or remove any tissue fragments.
If possible, try reinserting the tooth into its socket carefully. If reinsertion isn’t an option, store the tooth in milk, saline solution, or inside your cheek to keep it moist.
The sooner you see a dentist, the better the chances of saving the tooth. Ideally, seek emergency dental care within 30 to 60 minutes for the best outcome.
For a Loose or Displaced Tooth
If a tooth is loose or pushed out of alignment due to trauma, avoid wiggling or putting pressure on it. Try to gently keep it in place with your tongue, but do not force it back into position. If necessary, lightly bite down on a piece of gauze to keep it stable.
Avoid eating or drinking anything that could put pressure on the affected tooth. It is crucial to see a dentist immediately, as they may be able to reposition and stabilize the tooth, preventing permanent damage or loss.
For a Fractured Root
A fractured root occurs when a crack extends below the gum line, often invisible to the naked eye. Symptoms may include persistent pain, swelling, and sensitivity. Avoid chewing on the affected side to prevent worsening the injury.
Since fractures beneath the gum line are difficult to diagnose without professional help, visit a dentist as soon as possible. An X-ray will determine the extent of the damage, and treatment may involve a root canal or extraction if necessary.
For Soft Tissue Injuries (Gums, Tongue, Cheeks, Lips)
Soft tissue injuries can lead to excessive bleeding, pain, and discomfort. If you experience a cut or tear inside the mouth, control the bleeding by applying a clean gauze pad or a damp tea bag with light pressure.
Rinse your mouth with salt water to help prevent infection and soothe irritation. Applying a cold compress to the outside of the mouth can reduce swelling and numb the pain.
If bleeding does not stop after 10-15 minutes of applying pressure, or if the wound is deep and severe, seek immediate medical or dental care.
By taking quick and appropriate action, you can prevent further damage and increase the chances of a full recovery.
Preventing Dental Injuries
- Wear a mouthguard during sports: Protecting teeth during physical activities prevents dental emergencies.
- Avoid chewing hard foods and objects: Hard foods like ice and nuts increase the risk of tooth fractures.
- Practice good oral hygiene: Strong teeth resist fractures and injuries better. Brushing and flossing help maintain tooth strength.
- Regular dental check-ups: Routine exams help detect vulnerabilities and prevent severe dental issues. An emergency dentist can address potential risks before they worsen.
Taking quick action during dental emergencies prevents severe damage. Knowing how to handle tooth injuries makes a big difference. Keeping an emergency dentist’s contact saves valuable time. Ignoring dental emergencies leads to long-term issues. Always be prepared for unexpected dental situations.
Prevention plays a crucial role in avoiding unnecessary pain and treatments. Prioritize oral health by taking necessary precautions. Stay informed about handling dental injuries. If you experience a dental emergency, don’t wait—contact your dentist immediately!


